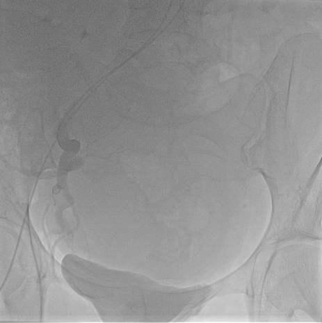
2014 թ. սեպտեմբերի15-ին «Էրեբունի» բժշկական կենտրոնում հերթական բացառիկ վիրահատությունն է անցկացվել՝ արգանդային զարկերակների էմբոլիզացիա՝ արգանդի միոմայի պատճառով: Այս էնդովասկուլյար միջամտությունը միոմայի բուժման արմատական մեթոդներից է:
2014 թ. սեպտեմբերի10-ին 52-ամյա Գ.Օ. «Էրեբունի» բժշկական կենտրոն դիմեց արգանդի միոմա, մետրոռագիա, լյարդի աջ մասի հսկայական հեմանգիոմա ախտորոշմամբ: Հիվանդի վիճակը ծանր էր, անընդմեջ արյունահոսության պատճառով նրա մոտ զարգացել էր նաև սակավարյունություն: Հիվանդին կրկնակի արյան փոխներարկում էր իրականացվել, ինչից հետո միայն հնարավոր էր դարձել վիրահատության իրականացումը:
Հիվանդին հակացուցված էր բաց վիրահատության ճանապարհով արգանդի հեռացում իրականացնել, քանի որ վիրահատության ընթացքում հեմանգիոմայի վնասման ռիսկը մեծ էր, ինչն իր հերթին կարող էր զանգվածային արյունահոսության պատճառ լիներ:
Վիրահատության տևողությունը 30-40 րոպե է: Վիրահատության էությունը երկու արգանդային զարկերակների էմբոլիզացիա կատարելն է՝ չխախտելով արյան շրջանառությունն արգանդում: Այն նվազագույն միջամտություն պահանջող և քիչ վնասվածքներ հարուցող վիրահատություն է, որն իրականացվում է տեղային անզգայացմամբ: Վիրահատությունը հնարավորություն է ընձեռում խուսափել հիստեէկտոմիայից (արգանդի հեռացումից), առավել ևս, երբ կինը դեռ վերարտադրողական տարիքում է գտնվում: Այսպիսի վիրահատություններ կարելի է անցկացնել ինչպես եզակի միոմայի, այնպես էլ ցանկացած տեղայնացման արգանդի միոմատոզի ժամանակ:
Վիրահատությունն անց է կացվել փորձառու ինվազիվ սրտաբան Արսեն Ծատուրյանի կողմից, ով բազմիցս իրականացրել է վերոնշյալից ոչ պակաս բարդ վիրահատություններ և որոնց դրական արդյունքները խոսում են նրա պրոֆեսիոնալիզմի մասին:
Հետվիրահատական շրջանն անցել է հարթ՝ առանց բարդությունների: Հիվանդը երկու օր գտնվել է շուրջօրյա հսկողության տակ, այնուհետև դուրս է գրվել՝ շարունակելով մնալ բժիշկների ուշադրության կենտրոնում:
Անհրաժեշտ է նշել, որ այսպիսի վիրահատություն Հայաստանում առաջին անգամ է իրականացվել:


