В мц "Эребуни" уже несколько лет эндоваскулярным хирургом службы ангиографии А. Цатуряном проводится как эмболизация маточных артерий при миомах, так и артерий простаты при аденоме простаты, и печеночных артерий - при доброкачественных и злокачественных опухолях.
https://erebunimed.com/rus/news.more/43
https://erebunimed.com/rus/news.more/223
https://erebunimed.com/rus/news.more/236
https://erebunimed.com/rus/news.more/255
У больной М.В., 1978 г. рожд, с выраженной симптоматикой (бесплодие, обильные месячные, частое мочеиспускание, боли в области таза, вздутие живота), при прохождении МРТ-исследования были обнаружены множественные миоматозные узлы (более 20 узлов) с деформацией полости матки. Необходимо отметить, что при таком наличии узлов обычно проводят гистерэктомию. Больная в перспективе планировала забеременеть, поэтому ей была проведена эмболизация маточных артерий .
![]() |
![]() |
По прошествии 6 месяцев после процедуры симптомы полностью исчезли, объем матки и узлов уменьшился более, чем на 55%, без деформации полости матки. В последующие месяцы (вплоть до 1 года) по прогнозам узлы уменьшатся до 80%, а некоторые из них могут вообще исчезнуть.
В 2015г. больной Э. А., 1963г. рожд, с субмукозной миомой матки, осложненной кровотечением, сопутствующей тяжелой сердечной патологией, была проведена эндоваскулярная эмболизация маточных артерий – https://erebunimed.com/rus/news.more/155.
По прошествии 2 лет после процедуры эмболизации больной былао проведено повторное УЗИ-исследование, которое показало абсолютно нормальную матку, без миоматозного узла.( Этот процесс исчезновения миоматозных узлов называется экспульсия или рассасывание миоматозного узла: встречается после эмболизации субмукозной миомы, и матка полностью “освобожается” от миомы).
Больная А.Л, 1971г. рожд., с субмукозной миомой и кровотечением 20.09.2017г. обратилась в МЦ Эребуни с целью эмболизации маточных артерий. После проведения вмешательства, больная была выписана на 3-и сутки в удовлетворительном состоянии.
Больной В.А., 1954г. рожд., с гиперплазией простаты (объем железы - 200 см3) и хронической задержкой мочи, с остаточной мочой 450 мл с PSA 42 ng/ml и с выраженной симптоматикой 24.08.2017г. обратился в МЦ ЭРЕБУНИ для проведения эмболизации артерий простаты, как альтернатива ТУР-а. Через несколько дней после эмболизации у больного наблюдалась явно выраженная положительная динамика, и в течение месяца симптомы, связанные с аденомой простаты, полностью исчезли.
При повторном УЗИ-исследовании, через полгода, объем простаты уменьшился до 80 см3 (на 60%), без наличия остаточной мочи, PSA снизился до 8 ng/ ml). Урофлоуметрические показатели достигли пределов возрастной нормы.
Крайне важен тот факт, что для мужчин с гиперплазией (аденомой) простаты, желающих иметь детей, эмболизация артерий простаты является альтернативным способом лечения, после проведения которой не наблюдается ретроградной эакуляции, что бывает после ТУР-а
https://erebunimed.com/rus/news.more/198;
https://erebunimed.com/rus/news.more/256.
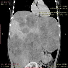
Больной М.М., 1994 г. рожд., поступившей в МЦ Эребуни 03.03.2018г., несколько лет назад было диагностировано очень редкое заболевание: инфантильная гемангиоэндотелиома - быстрорастущее доброкачественное новообразование печени, встречающееся в основном у новорожденных, и, в очень редких случаях, - в более зрелом возрасте, достигая гигантских размеров.
Новообразование размером 25х14х28см занимало всю брюшную полость, верхний этаж таза, сдавливая и смещая внутренние органы. Основным лечением при этой патологии является трансплантация печени или эмболизация артерий узлов для уменьшения их размеров.
03.03.2018г. была выполнена селективная ангиография чревного ствола и печеночных артерий, после чего осуществлена эндоскопическая селективная эмболизация артерий, питающих новообразование, микрочастицами.
В послеоперационный период и последующие недели наблюдалось уменьшение объема и окружности живота и размеров печени. Симптомы сдавления у больной в течение последующих двух недель почти исчезли. Больной рекомендовано динамическое наблюдение и КТ-исследование с контрастированием через 6 месяцев.
![]() |
![]() |
![]() |
https://erebunimed.com/rus/news.more/172
https://erebunimed.com/rus/news.more/200
Не раз отмечался тот факт, что описанные эндоваскулярные вмешательства проводятся под местной анестезией (во время операции пациенты не ощущают никакого дискомфорта), выполняются тонкими катетерами, раны, как таковой, не оставляют, и являются крайне эффективными и атравматичными. Это обуславливает короткий и легкий постоперационный период и обеспечивает раннее восстановление пациентов, с быстрым возвращением к своей повседневной активности.





